2019년 3월 23일 토요일
"아기집을 지은것 같긴한데. 그 집 안에 너 있는 거 맞는 거지?"

저희 부부는 불안하고 초조하게 6일을 기다려 저희가 다니고 있는 병원에 갔습니다.
늘 병원에 도착하면 먼저 하던 혈압 측정도 괜히 긴장되는건 기분탓인가 봅니다.
병원에 가기 전, 이미 전화로 임테기에 두줄이 나왔다는 상황을 말씀 들여놓은 상태였고
2시간 정도 걸려서 도착한(저희는 여러 임신 시도 끝에 지방에 있는 병원을 다니고 있었습니다) 병원에는 한시름 놓았다는 표정을 하고 계신 원장님이 계셨습니다. 그 모습이 얼마나 감사하고, 고맙고, 죄송스럽던지요.
선생님은 고생 많았다는 표정으로 저희를 반겨주셨고, 다른 한편으로는 아직 안심하지 말라는 긴장감 있는 말투를 하고 계셨습니다.
하지만 저희가 다니고 있던 병원은 엄청 유명하거나 엄청 큰 병원이 아니었기 때문에 원장님과 뭔가 교감을 하고 있다는 느낌이 들었는데 이 부분이 지금 생각해도 너무 안정감 있는 느낌이었습니다.
선생님은 임신도 임신이지만 그렇다고 유산에 대한 가능성을 배제하지 말자고 하셨습니다.
이런저런 다양한 경험을 하셨을 분이시기 때문에 앞으로 어떠한 일이 생길지 모른다는 대비를 미리 하셨고 마냥 들떠있던 저희 부부는 미처 생각하지 못했던 부분에 대해 뜨끔하는 느낌이었습니다.
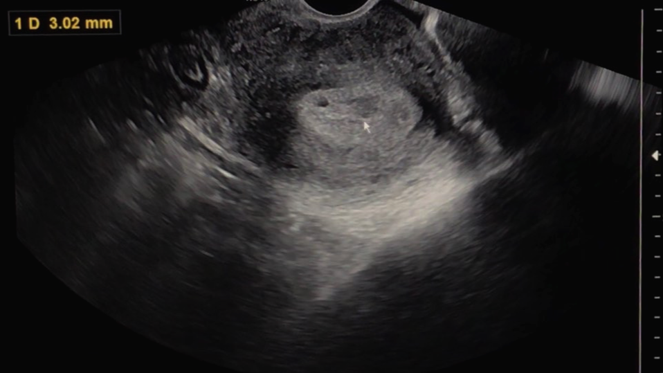
그리고 선생님은 초음파를 보면서 어떤 상태인지 한번 자세히 보자고 말씀하셨습니다.


아직은 확실하게 '아기집이 이거다!' 하고 보이지는 않는 상태이지만 와이프의 몸 안에 무언가가 생기기는 했나 봅니다.
확실히 아기집이 생겼다고 말씀을 안 해주시는 걸 보면 원장님 또한 아직은 조심스러운 상태이신 게 맞는 것 같습니다.
살짝은 계속 불안하고 조금은 초조하고 그러는 상태가 약간 더 이어집니다.
선생님은 문제가 없다면 10일 정도 후에는 아기집에서 아기의 심장이 뛰기 시작할 것이고, 14일 정도 후에 병원을 다시 한번 찾아오라고 하십니다. 그렇게 또다시 2주간 또 긴 기다림의 시간이 시작되는 것 같습니다.
하지만 이 순간을 정말 오래 기다렸고 빌기도 많이 빌었던 것 같습니다..
아기를 보기 전에 아기가 지낼 아기집을 먼저 지었다는 사실이 놀랍습니다.
그리고 그전에, 아기집이라는 말을 언젠가는 들었던 적이 있었던 것 같은데 이렇게 아기가 지내는 집이 아기집인 줄은 처음 알았네요.
이렇게 인체의 신비를 배워가기 시작하네요.
"아직 점으로 조차 잘 보이지 않는 우리 아가지만 엄마 뱃속에서 예쁜 집 짓고 10달 동안 잘 지내고 있길 바라~ 이렇게 와줘서 정말 고마워"
댓글